Macrocom Logo
FullHD Intraoral Kamera

PicoHD 1080P

Intraoralt kamera designet til moderne tandlæge- og dyreklinikker med fokus på billedkvalitet, workflow og klinisk præcision.

PicoHD 1080 Intraoral Kamera

Værdi i klinisk praksis

PicoHD 1080P er udviklet til at optimere klinisk diagnose og workflow. Med højopløselige Full HD-billeder, robust konstruktion og intuitiv betjening får du et kamera, der leverer detaljerede optagelser – klar til visning, journalføring og patientdialog.

Det kompakte, ergonomiske design gør kameraet let at arbejde med i en travl hverdag. Samtidig sikrer den høje billedkvalitet, at selv små detaljer er tydelige og lette at vurdere visuelt. PicoHD 1080P er et professionelt værktøj, som forbedrer både effektivitet og resultat.

Kameraet er konstrueret til klinisk brug og kan rengøres med almindelige godkendte steriliserings- og desinfektionsmidler. Den lukkede overflade og det robuste metalhus gør det muligt at opretholde høje hygiejnestandarder uden at gå på kompromis med funktionalitet eller levetid. Det gør PicoHD 1080P velegnet til daglig brug i både tandlæge- og dyreklinikker, hvor hygiejne og driftssikkerhed er afgørende.

Udviklet til klinisk effektivitet

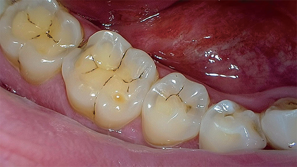
Skarpe billeder

Skarpe Full HD-billeder

PicoHD 1080P leverer levende, skarpe billeder i ægte 1080p opløsning. Med naturlig farvegengivelse og god kontrast får du konsistente resultater, som understøtter præcis diagnostik og sikrer troværdig dokumentation.

Robust & egonomisk design

Ergonomisk og robust design

Det kompakte kamera er let og balanceret, så du ubesværet kan arbejde i alle intraorale områder. Det stærke metalhus tåler daglig brug i klinikken og er konstrueret til at holde – uden kompromis på håndtering eller funktionalitet.

leksibel manuel fokusjustering

Fleksibel manuel fokusjustering

PicoHD 1080P har manuel fokusjustering, der gør det nemt at tilpasse skarpheden efter behov – fra nærbilleder til mere overordnede visninger. Den praktiske fokusskyder er designet til intuitiv enhåndsbetjening for effektiv arbejdsgang.

Indbygget led belysning

Indbygget belysning

Seks justerbare LED-lys omkring linsen giver jævn og naturlig belysning af undersøgelsesområdet. Det gør det lettere at se farver og teksturer, hvilket er vigtigt for diagnostiske vurderinger og patientforklaring.

Hvorfor PicoHD 1080P

Skarpe billeder med høj diagnostisk værdi
Med Full HD-opløsning og præcis farvegengivelse får du billeder, som tydeligt viser relevante kliniske detaljer. Det understøtter hurtigere og mere sikker vurdering ved behandlinger og konsultationer.

Hurtigere workflow og intuitiv betjening
PicoHD 1080P er plug-and-play via USB-tilslutning, hvilket betyder, at det er klar til brug med det samme uden installation af komplicerede drivere. Det gør opsætning og daglig brug enkelt og hurtigt – direkte i din kliniksoftware.

Driftsikker

Robust, holdbart og driftssikkert

Det solide metalhus er lavet til hverdagens krav i klinikken. PicoHD 1080P er pålideligt, let at rengøre og vedligeholde – det betyder færre afbrydelser og mere tid til patienterne.

CNC-bearbejdet, moderne og robust. Ved hjælp af anodiseringsprocessen er den holdbar, ikke let at affarve, nem at rengøre og mere hygiejnisk.

Plug-and-play USB-tilslutning

Med standard USB-tilslutning kan kameraet nemt integreres i eksisterende pc-opsætninger og software til journalføring. Det fungerer direkte uden ekstra installationer, hvilket gør det fleksibelt til forskellige kliniske systemer.

Plug and play

PicoHD 1080P skiller sig ud med:

1. Klar, diagnostisk billedkvalitet i Full HD
Hvor mange standard intraorale kameraer især arbejder med lavere opløsning eller kun 720 p, så leverer PicoHD 1080P skarp Full HD-kvalitet, som gør det lettere at se fine detaljer i både tænder og bløddele. Dette forbedrer både diagnostikken og patientforklaringen.

2. Ergonomisk design med manuel fokus
Flere konkurrenter har fast fokus eller automatiske løsninger, som kan være hurtige, men ikke altid giver optimal skarphed på præcise målområder. Med manuel fokusjustering får du præcis kontrol, hvilket især er nyttigt til detaljerede kliniske billeder.

3. Robust og klinisk rengøringsvenlig konstruktion
PicoHD 1080P er bygget med et solidt metalhus, som kan tåle hyppig rengøring med godkendte desinfektions- og steriliseringsmidler. Enkelte modeller på markedet med plastkonstruktioner tåler ikke samme hygiejneniveau i kliniske arbejdsgange.

4. Plug-and-Play-tilslutning
Modeller fra nogle konkurrenter kræver ekstra softwareinstallation eller er kun kompatible med bestemt kliniksoftware. PicoHD 1080P fungerer med de fleste systemer via USB uden bøvlede installationer – hvilket sparer tid og teknisk support.

5. Større kompatibilitet og workflow-integration
Mens visse konkurrerende kameraer kun tilbyder basal billedfangst, er PicoHD 1080P designet til at integrere let med klinikrutiner, journalføring og patientundervisning – uden at gå på kompromis med hverken billedkvalitet eller brugervenlighed.

6. Bedre værdi for klinikker med høje krav
Nogle lavpris intraorale kameraer på markedet kan være acceptable til simple billeder, men de mangler ofte funktioner som manuel fokus, høj opløsning eller robusthed. PicoHD 1080P giver flere avancerede funktioner uden at fordyre udstyret unødigt.

Software & kompatibilitet

PicoHD 1080P leveres med intuitiv billedsoftware til visning, optagelse og arkivering af billeder og video. Softwaren er kompatibel med de fleste Windows-systemer og kan integreres med kliniksoftware, så dine optagelser bliver en naturlig del af patientjournalen.

Dette gør det muligt at kombinere billeder fra PicoHD 1080P med journaldata og dokumentation i samme workflow – uden ekstra teknisk kompleksitet.

Understøttede systemer inkluderer blandt andet:
KaVo, Sirona, Planmeca, Vetma, Romexis, Al Dente, Carestream, Suni, Owandy, EG, XO, Dental Suite og Dexis og alle andre software kan bruge twain driver.

Logos

Tekniske highlights

  • Full HD 1920 × 1080 opløsning
  • Manuel fokusjustering
  • Seks indbyggede LED-lys
  • USB-tilslutning (plug-and-play)
  • Robust metalhus
  • Kompatibel med de fleste kliniksoftware

Pakke indhold

  • PicoHD 1080
  • 3m usb kabel
  • USB kabeæ
  • Beslag til at montere væg eller bord
  • Engangshylster

Klar til at opgradere din klinik?

Tag kontakt for demo, pris eller yderligere information om PicoHD 1080P – det professionelle intraorale kamera, der giver dig bedre billeder, enklere workflow og mere værdi i klinikken.